
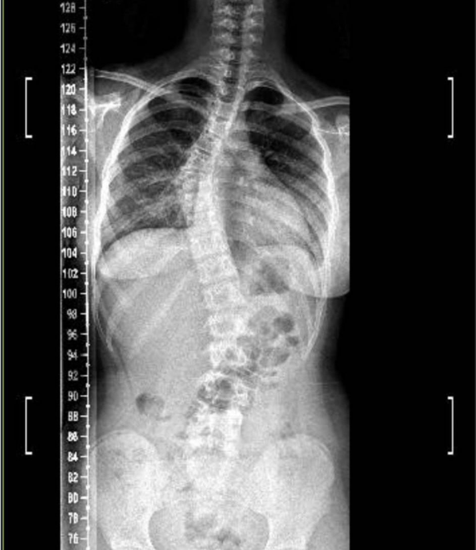
La pequeña Nicole Ibarra, de 12 años, recientemente fue diagnosticada con escoliosis y los médicos le han recetado el uso de un corsé ortopédico y la obra social no lo cubre. Por lo cual se lanzó una campaña solidaria para recaudar el monto de 1.400.000 pesos, que es el costo del corsé.
En una visita a Medios El Independiente, Rosa y Andrea, mamá y tía de la pequeña, comentaron que la pequeña comenzó el año pasado con dolores y nauseas por lo cual realizaron la consulta médica “y me dicen que tenía una leve desviación en la columna, pero en estos últimos meses avanzó muchísimo, por lo cual necesita utilizar un corset ortopédico las 24 horas del día. Ella siente mucho dolor y necesitamos conseguirlo urgente”.
“Lamentablemente, el costo de este tratamiento es elevado y no siempre es fácil afrontarlo solos. Por eso, con mucho respeto y esperanza, pedimos la colaboración de quienes puedan y deseen ayudar. Cada aporte, por pequeño que sea, suma y acerca a Nicole a la posibilidad de vivir sin dolor y con un futuro más saludable”, indicó la tía de la niña.
Por último, agradecieron el apoyo de los riojanos y quienes puedan colaborar económicamente lo pueden hacer a través del alias: jopelar.uala Titular: Elvio Miguel Nicolás Ibarra Morales, Cuil: 20-31903222-4.